Search & Filter All Posts
All Articles
(2 Results)
Neuro Notes
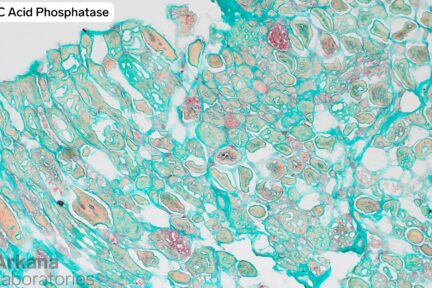
Toxic Vacuolar Myopathy Due to Hydroxychloroquine
Clinical History:This 50-year-old patient presented with a one year history of of persistent muscle weakness. They also had shortness of…
