Clinical History:
This 50-year old patient presented complaints of upper and lower extremity proximal and distal muscle weakness. They also related recent painful skin lesions. Their past medical history was significant for end stage renal disease (ESRD), hyperparathyroidism and diabetes. Laboratory studies showed elevated CPK (25000), negative/normal myositis specific autoantibody panel and HMGCR. EMG showed myopathic features.
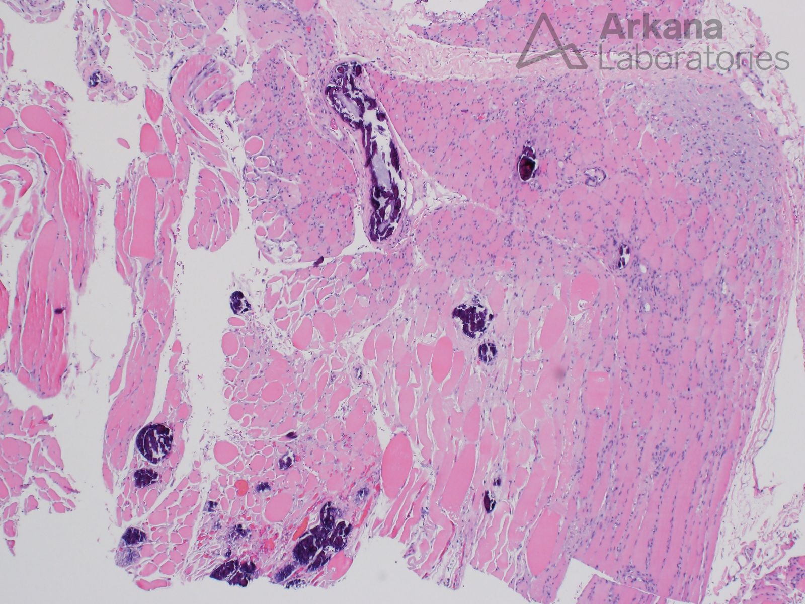
What is your diagnosis based on the provided H&E stained frozen and FFPE section images?
Answer:
- Calciphylaxis (calcficic uremic arteriolopathy, calcifying panniculitis)
- Note the patchy perifascicular pattern of muscle fiber injury. This pattern is felt to represent vasculopathic injury and may also be seen in the setting of dermatomyositis and anti-synthetase syndrome.
Reference(s)/Additional Reading:
- Westphal SG, Plumb T. Calciphylaxis. 2023 Aug 8. In: StatPearls [Internet]. Treasure Island (FL): StatPearls Publishing; 2023 Jan–. PMID: 30085562.
https://www.ncbi.nlm.nih.gov/books/NBK519020/ - Gallo Marin B, Aghagoli G, Hu SL, Massoud CM, Robinson-Bostom L. Calciphylaxis and Kidney Disease: A Review. Am J Kidney Dis. 2023 Feb;81(2):232-239. doi: 10.1053/j.ajkd.2022.06.011. Epub 2022 Aug 12. PMID: 35970430.
- Edelstein CL, Wickham MK, Kirby PA. Systemic calciphylaxis presenting as a painful, proximal myopathy. Postgrad Med J. 1992 Mar;68(797):209-11. doi: 10.1136/pgmj.68.797.209. PMID: 1589381; PMCID: PMC2399253.
- Aouizerate J, Valleyrie-Allanore L, Limal N, Ayache SS, Gherardi RK, Audard V, Jerôme Authier F. Ischemic myopathy revealing systemic calciphylaxis. Muscle Nerve. 2017 Sep;56(3):529-533. doi: 10.1002/mus.25505. Epub 2017 Apr 23. PMID: 27935078.
Quick note: This post is to be used for informational purposes only and does not constitute medical or health advice. Each person should consult their own doctor with respect to matters referenced. Arkana Laboratories assumes no liability for actions taken in reliance upon the information contained herein.

