Clinical History:
The patient is a 65-year-old woman with progressive proximal and generalized weakness, dysphasia, full-body pain, fasciculations and malaise.
Medication: IVIG (multiple years; recently stopped working), sertraline and magnesium.
Physical exam: strength: head turn and shoulder shrug 3/5, proximal upper and extremities 2/5, distal upper and lower extremity 4/5; fasciculations present; bulk and tone normal; reflexes: weak throughout; sensory: unremarkable; gait: wheelchair-bound.
EMG/NCS: severe demyelinating sensorimotor polyneuropathy. Lab results: gamma globulin 1 point, CSF protein 7200.
Clinical diagnosis: demyelinating disease refractory to IVIG vs. motor neuron disease vs. paraproteinopathy.
What is the diagnosis?
A. Guillain-Barré syndrome
B. Chronic inflammatory demyelinating polyneuropathy
C. Lepromatous leprosy
D. Acute inflammatory demyelinating polyneuropathy
Answer:
Chronic inflammatory demyelinating polyneuropathy (CIDP)
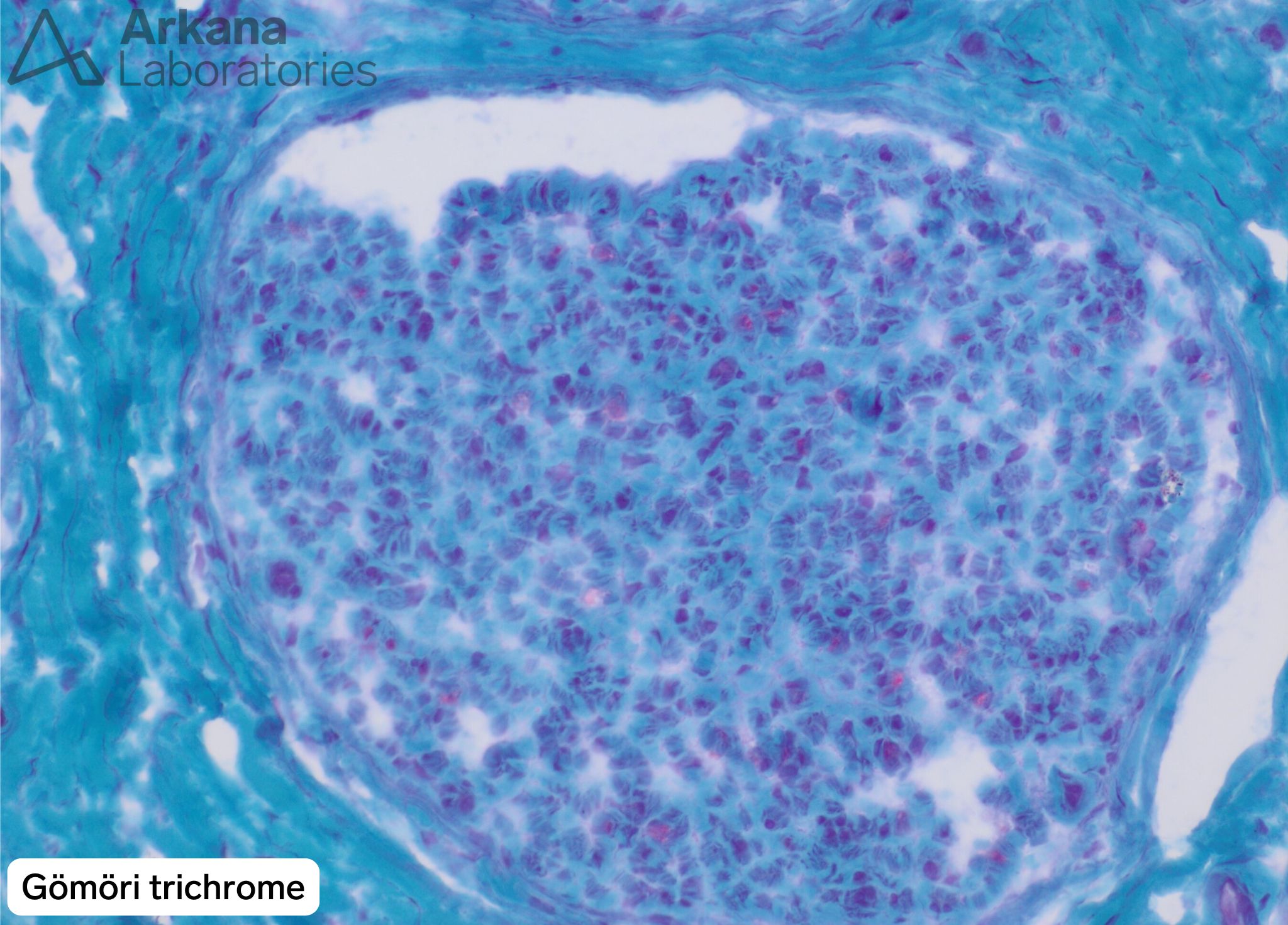
Numerous onion-bulbs and thinly myelinated axons are compatible with a chronic demyelinating and remyelinating disorder. Indolent CIDP best describes these findings. There are almost no residual normal well myelinated axons. There is also moderate-to-severe axon loss which may be seen as a secondary findings in CIDP. These findings would be compatible with advanced symptomatology. There is no obvious active disease. There is no evidence of inflammation including no vasculitis, including no vasculopathic changes suspicious for vasculitis. Guillain-Barré syndrome and acute inflammatory demyelinating polyneuropathy (AIDP) are the same diagnosis and are unlikely to show onion-bulbs which are a longer standing phenomenon. Lepromatous leprosy generally shows asymmetric thickening of the perineurium with nonspecific axon loss.
Resource(s) / Additional Reading:
- Gogia B, Rocha Cabrero F, Khan Suheb MZ, et al. Chronic Inflammatory Demyelinating Polyradiculoneuropathy. [Updated 2024 Mar 4]. In: StatPearls [Internet]. Treasure Island (FL): StatPearls Publishing; 2025 Jan-.
Available from: https://www.ncbi.nlm.nih.gov/books/NBK563249/
Quick note: This post is to be used for informational purposes only and does not constitute medical or health advice. Each person should consult their own doctor with respect to matters referenced. Arkana Laboratories assumes no liability for actions taken in reliance upon the information contained herein.


