Clinical History:
This 40-year-old patient underwent sural nerve biopsy to evaluate for a painful mixed large fiber and small fiber axonal neuropathy. The biopsy showed light microscopic features of a chronic active axonopathic process. Neurofilament immunohistochemical stain performed on a FFPE tissue section showed diffuse significant loss of small diameter unmyelinated axons.
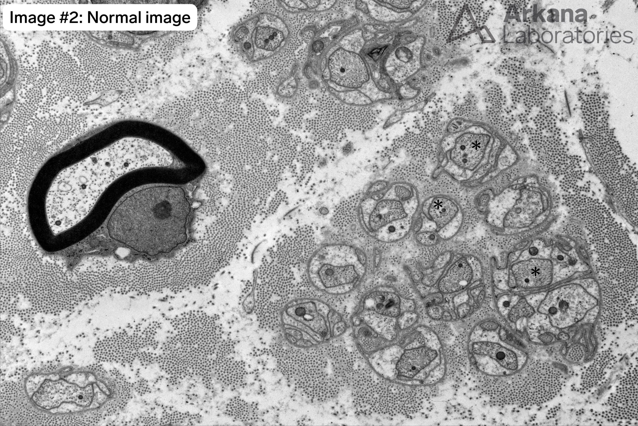
What are the structures indicated by arrows in Image #1? Once you identify these you will notice multiple other such structures in the image.
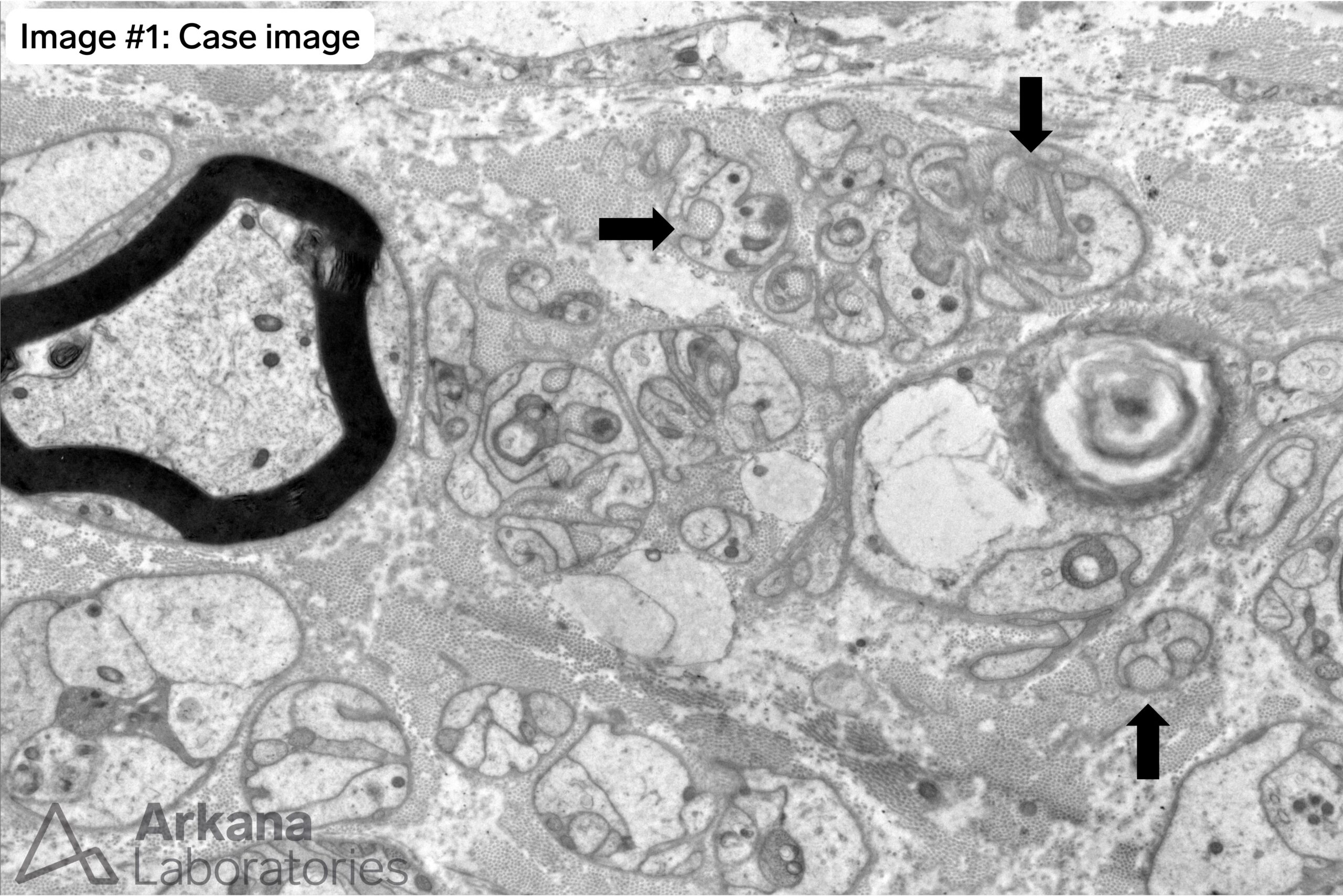
Image #2 is what normal would look like for comparison.
Answer:
Collagen Pockets
Schwann cells seem to like to wrap things. A single myelinating Schwann cell will wrap a single axon with a myelin sheath. This contrasts with non-myelinating Schwann cells (also know as Remak cells) which form a trough or enclosure to hold (ensheath) multiple small diameter unmyelinated axons (see asterisks in Image #2). When the small unmyelinated axons are lost to damage (axonopathy) the non-myelinating Schwann cells wrap bundles of collagen (i.e. collagen pockets are one morphologic sign of axonal loss).
Note the marked decrease in small diameter unmyelinated axons in Image #1 compared to Image #2.
Reference(s) / Additional Reading:
- Ochoa JL. Recognition of unmyelinated fiber disease: morphologic criteria. Muscle & Nerve 1978;1:375–387; PubMed: 233736.
- Harty BL, Monk KR. Unwrapping the unappreciated: recent progress in Remak Schwann cell biology. Curr Opin Neurobiol. 2017 Dec;47:131-137. doi: 10.1016/j.conb.2017.10.003. Epub 2017 Nov 6. PMID: 29096241; PMCID: PMC5963510.
- Carlsen F, Behse F. Three dimensional analysis of Schwann cells associated with unmyelinated nerve fibres in human sural nerve. J Anat. 1980 May;130(Pt 3):545-57. PMID: 7410198; PMCID: PMC1233173.
- Jessen KR, Mirsky R. The repair Schwann cell and its function in regenerating nerves. J Physiol. 2016 Jul 1;594(13):3521-31. doi: 10.1113/JP270874. Epub 2016 Mar 21. PMID: 26864683; PMCID: PMC4929314.
- Feltri ML, Poitelon Y, Previtali SC. How Schwann Cells Sort Axons: New Concepts. Neuroscientist. 2016 Jun;22(3):252-65. doi: 10.1177/1073858415572361. Epub 2015 Feb 16. PMID: 25686621; PMCID: PMC5181106.
Quick note: This post is to be used for informational purposes only and does not constitute medical or health advice. Each person should consult their own doctor with respect to matters referenced. Arkana Laboratories assumes no liability for actions taken in reliance upon the information contained herein.
