Search & Filter All Posts
All Articles
(1 Results)
Neuro Notes
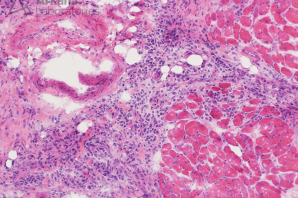
Signet Ring Carcinoma
Clinical History This 50-year-old patient presented with muscle weakness and stiffness. They had recently been identified to have diffuse thickening…
