Clinical History:
- History: 68-year-old man with 1 week of bilateral proximal upper and lower extremity weakness and 1 month of facial, eyebrow, neck, chest, and back rash (initially diagnosed as seborrheic dermatitis)
- PMH: HTN, PVD, asthma, hyperlipidemia, GERD, type 1 DM with retinopathy, IgA deficiency, hypothyroidism, former light smoker
- FH: Stroke, diabetes, arthritis, cancer, macular degeneration, heart disease
- Meds: Atorvastatin, insulin, levothyroxine, zolpidem; treated with Solu-Medrol and prednisone
- Physical exam: Mild-moderate proximal weakness, lower extremity edema
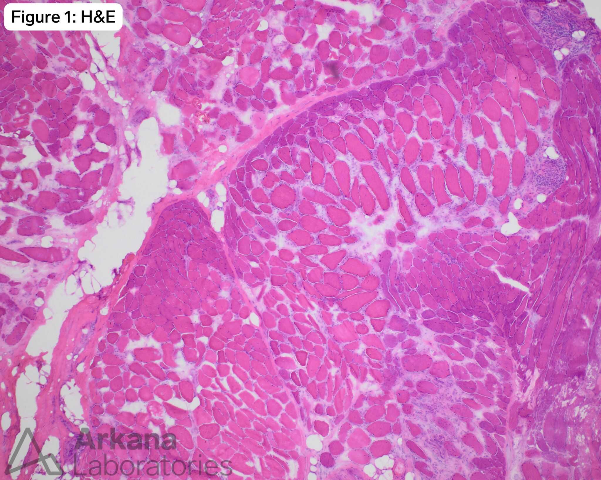
- MRI: Diffuse heterogeneous edema of bilateral quadriceps, adductors, and sartorius, suspicious for inflammatory myopathy
- Labs: CK peaked at 1570, trending down to 680; aldolase 20; mildly elevated CRP; ANA, Lyme, and RF negative; HMGCR Ab, MG panel, extended myositis and ENA panels pending
MxA staining is not characteristic of:
A. Dermatomyositis
B. Immune-mediated, necrotizing myopathy
C. Lupus myositis
D. Viral myositis
Answer:
B. Immune-mediated, necrotizing myopathy
MxA (Myxovirus resistance protein A (MxA) staining is most characteristic of dermatomyositis where it is characterized by perifascicular sarcoplasmic pattern). However, MxA is a nonspecific surrogate for interferon-γ and may be seen in a variety of type II interferon-driven processes including lupus myositis, viral myopathy and other muscle overlap autoimmune conditions.
Perifascicular pathology with MxA positivity
Pattern classically associated with dermatomyositis
Other etiologies with perifascicular pathology:
- Lupus myositis
- Antisynthetase syndrome
- Sjögren syndrome
- Systemic sclerosis (minority of cases)
- Polymyositis (rarely)
Myxovirus resistance protein A (MxA) – surrogate for interferon-γ (type II) response; may be seen in:
- Dermatomyositis (perifascicular sarcoplasmic pattern)
- Lupus myositis (staining prevalence associated with activity)
- Viral myopathy
- Other autoimmune conditions
Reference(s) / Additional Reading:
- Waisayarat J. Sarcoplasmic Myxovirus Resistance Protein A. J Inflamm Res. 2023;16:5417-5426.
- Xing C. Myxovirus resistance protein A (MxA) expression in myositides. Muscle Nerve. 2024;69(5):548-555.
Quick note: This post is to be used for informational purposes only and does not constitute medical or health advice. Each person should consult their own doctor with respect to matters referenced. Arkana Laboratories assumes no liability for actions taken in reliance upon the information contained herein.

