Clinical History:
This 50-year-old patient presented with a one year history of of persistent muscle weakness. They also had shortness of breath with exertion. Their past medical history is significant for seropositive rheumatoid arthritis which has been well-managed symptomatically for several years with hydroxychloroquine. Laboratory studies showed elevated CPK (1000-1600 range), positive rheumatoid factor (>120), ANA (1:120), positive SSA/SSB, and negative/normal myositis specific autoantibody panel, CCP, dsDNA, Scl-70, Smith/RNP, smooth muscle and ANCA autoantibodies. Electrodiagnostic studies (EMG/NCS) showed features of a chronic active distal symmetric length dependent axonal polyneuropathy. The patient’s home medication list also included CellCept and prednisone. Simvastatin had been previously discontinued without significant improvement in the patient’s symptoms. On physical examination the patient was noted to have weakness involving both lower legs.
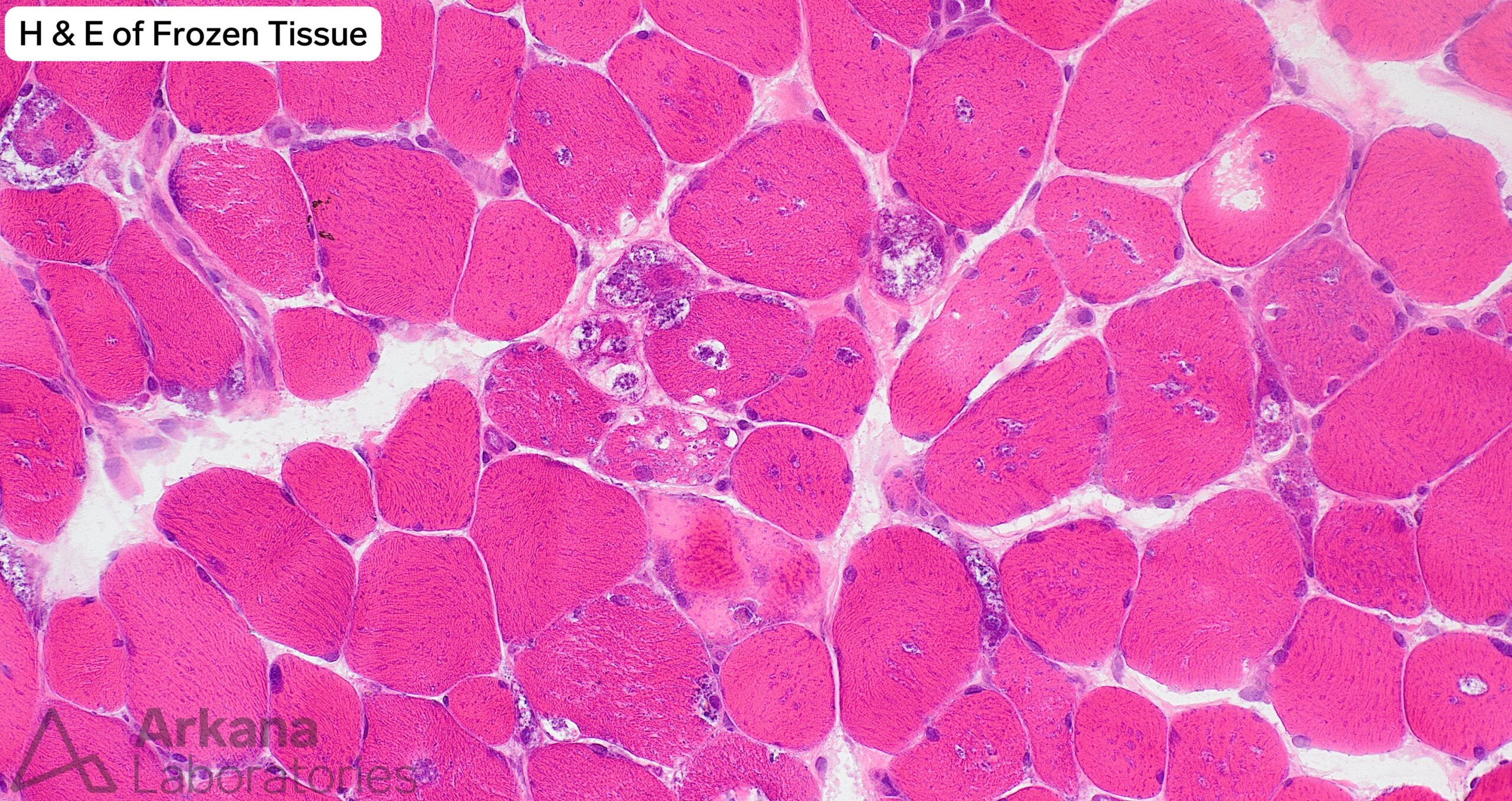
What is your diagnosis based on clinical history, light microscopy and electron microscopy?
A. Acid maltase deficiency
B. Hydroxychloroquine toxicity
C. Inclusion Body Myositis
D. Mitochondrial myopathy
Answer:
Vacuolar Myopathy Due to Hydroxychloroquine Toxicity
- The presence of a vacuolar myopathy is well-demonstrated on frozen section H&E and modified Gomori Trichrome stained sections. Acid phosphatase preparation shows increased lysosomal type staining within myofiber.
- Electron microscopy confirms the presence of frequent lysosomes within myofibers. In this case a single curvilinear body was identified.
- In the context of this patient’s clinical history the pathologic changes are consistent with toxic vacuolar myopathy related to hydroxychloroquine.
Reference(s) / Additional Reading:
- Stevens MA, Yeaney GA, Lacomis D. 42-year-old man with discoid lupus and progressive weakness. Brain Pathol. 2009 Jan;19(1):153-6. doi: 10.1111/j.1750-3639.2008.00238.x. PMID: 19076781; PMCID: PMC8094666.
- Mammen AL. Toxic myopathies. Continuum (Minneap Minn). 2013 Dec;19(6 Muscle Disease):1634-49. doi: 10.1212/01.CON.0000440663.26427.f4. PMID: 24305451; PMCID: PMC10563887.
Quick note: This post is to be used for informational purposes only and does not constitute medical or health advice. Each person should consult their own doctor with respect to matters referenced. Arkana Laboratories assumes no liability for actions taken in reliance upon the information contained herein.


