Clinical History:
65-year-old woman with generalized weakness and fatigue requiring a walker.
Past medical history: anemia, major depressive disorder, MCI, arthritis, CTS, COPD, thyroid disease, GERD, hyperlipidemia, migraines, neuropathy, gastric bypass, peripheral vascular disease and Raynaud syndrome.
Medications: methotrexate, atorvastatin, Depakote, gabapentin, and levothyroxine.
Physical exam: strength: 4/5 throughout; reflexes: 1+ throughout; sensory: reduce pinprick and glove and stocking distribution, Romberg positive
EMG: moderate-to-severe CTS and severe chronic sensorimotor axonal polyneuropathy.
Lab results: GM1 antibody and GD1 antibodies negative
Clinical concern for polyneuropathy vs. demyelinating disease/CIDP.
These findings are suspicious for what serious diagnosis?
A. Lepromatous neuropathy
B. Alport syndrome
C. Chronic inflammatory demyelinating polyneuropathy
D. Vasculitic neuropathy
Answer:
Vasculitic Neuropathy
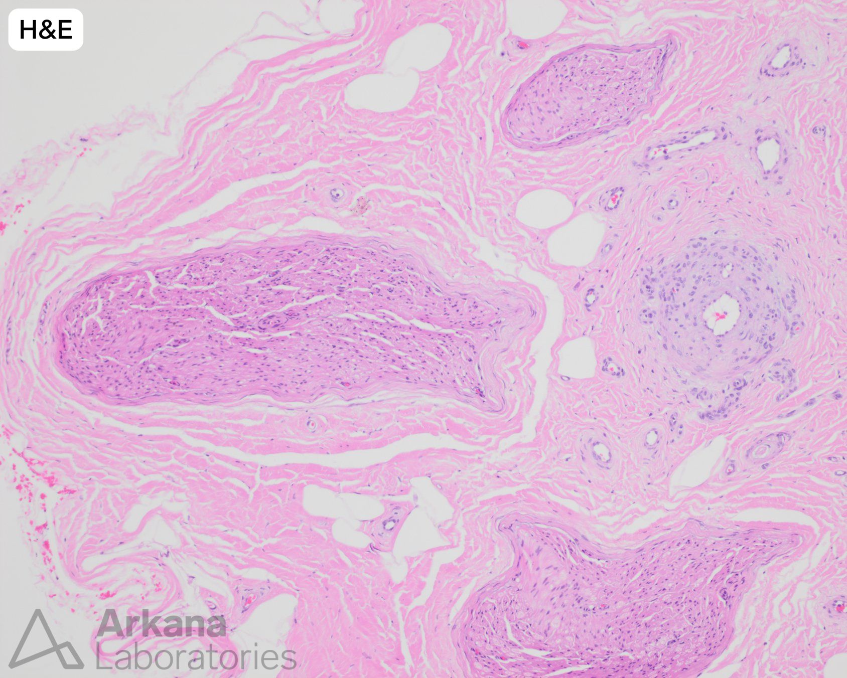
H&E stained sections show loss of axons with active axonal degeneration.
Although there is no active vasculitis with fibrinoid necrosis, there are thickened arterioles with mural vascular proliferation (angiogenesis).
The toluidine blue stained 1-micron-thick sections show patchy loss of axons combined with numerous regenerative groups (clusters of thinly myelinated large axon).
Combined axonopathic and vasculopathic features are suspicious for vasculitic neuropathy.
Vasculitis is one of the few urgent diagnoses in nerve pathology and should be communicated immediately to the referring physician.
Confirmatory serologies include ANCA, PR3 and MPO antibodies.
Reference(s) / Additional Reading:
- Chkheidze R, Pytel, P. JNEN. 2020;79(4):355-364.
- Collins MP, Hadden RD. Nat Rev Neurol. 2017;13(5):302-316.
- Collins MP, Kissel JT, et al. J Peripher Nerv Syst. 2010;15(3):176-84.
Quick note: This post is to be used for informational purposes only and does not constitute medical or health advice. Each person should consult their own doctor with respect to matters referenced. Arkana Laboratories assumes no liability for actions taken in reliance upon the information contained herein.


