Clinical History:
- History: 68-year-old man with 1 week of bilateral proximal upper and lower extremity weakness and 1 month of facial, eyebrow, neck, chest, and back rash (initially diagnosed as seborrheic dermatitis).
- PMH: HTN, PVD, asthma, hyperlipidemia, GERD, type 1 DM with retinopathy, IgA deficiency, hypothyroidism, former light smoker.
- FH: Stroke, diabetes, arthritis, cancer, macular degeneration, heart disease.
- Meds: Atorvastatin, insulin, levothyroxine, zolpidem; treated with Solu-Medrol and prednisone.
- Physical exam: Mild-moderate proximal weakness, lower extremity edema.
- MRI: Diffuse heterogeneous edema of bilateral quadriceps, adductors, and sartorius, suspicious for inflammatory myopathy.
- Labs: CK peaked at 1570, trending down to 680; aldolase 20; mildly elevated CRP; ANA, Lyme, and RF negative; HMGCR Ab, MG panel, extended myositis and ENA panels pending.
What is the most likely direct mechanism of muscle injury?
A. T-cell mediated inflammation of myofibers
B. B-cell mediated inflammation of myofibers
C. Metabolic myopathy
D. Ischemia
Answer:
D. Ischemia
Vasculitis
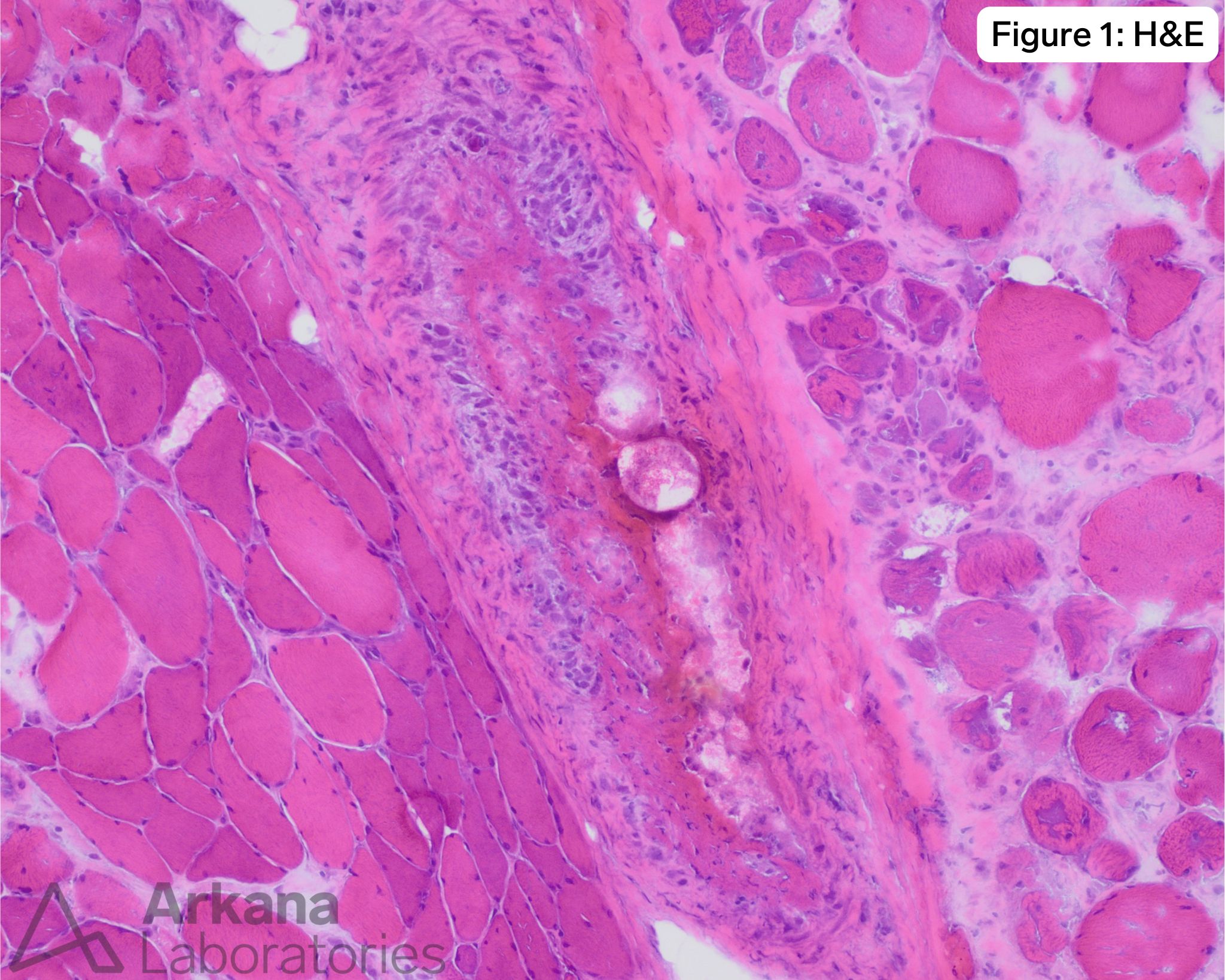
Frank muscle involvement in medium and small vessel vasculitis is uncommon, but well described. Histological findings of vasculitis include:
- Fibrinoid necrosis – pathognomonic for active vasculitis
- Mural injury
- Full thickness invasion of vessel wall
- Although fibrinoid necrosis is not congophilic, there is a characteristic appearance shown on dark field florescence of H&E-stained section.
Common etiologies of vasculitis in muscle:
- Polyarteritis nodosa is the most common followed by ANCA-associated vasculitis or rheumatoid arthritis associated vasculitis.
Mechanism of injury to muscle: ischemia
- Although concurrent inflammation of muscle fibers is may be seen in the setting of vasculitis; the injury to muscle is most often due to arterial compromise and subsequent ischemia.
Additional pathology:
- Other organ involvement is common
- Associated autoimmune disease is common
- Eosinophils (when present) suggest ANCA-associated vasculitis
Reference(s) / Additional Reading:
- Conticini E. Inflammatory muscle involvement in systemic vasculitis. Autoimmun Rev. 2022;21(3):103029.
Quick note: This post is to be used for informational purposes only and does not constitute medical or health advice. Each person should consult their own doctor with respect to matters referenced. Arkana Laboratories assumes no liability for actions taken in reliance upon the information contained herein.


