Clinical History:
73-year-old man who presented with inability to rise from a chair.
Past medical history: arthritis, hypertension and hypercholesterolemia, and male hypogonadism.
Medications: testosterone, metoprolol, atorvastatin.
Physical exam:
- Strength: 5/5 distal upper and lower extremities, 2 to 3/5 upper and lower proximal extremities
- Sensation: decreased vibration in right great toe
EMG: irritative myopathy pattern.
In this setting, anti-TIF1-γ serology is associated with which of the following?
A. Interstitial lung disease
B. Neoplasia
C. Sarcoidosis
D. Systemic sclerosis
Answer:
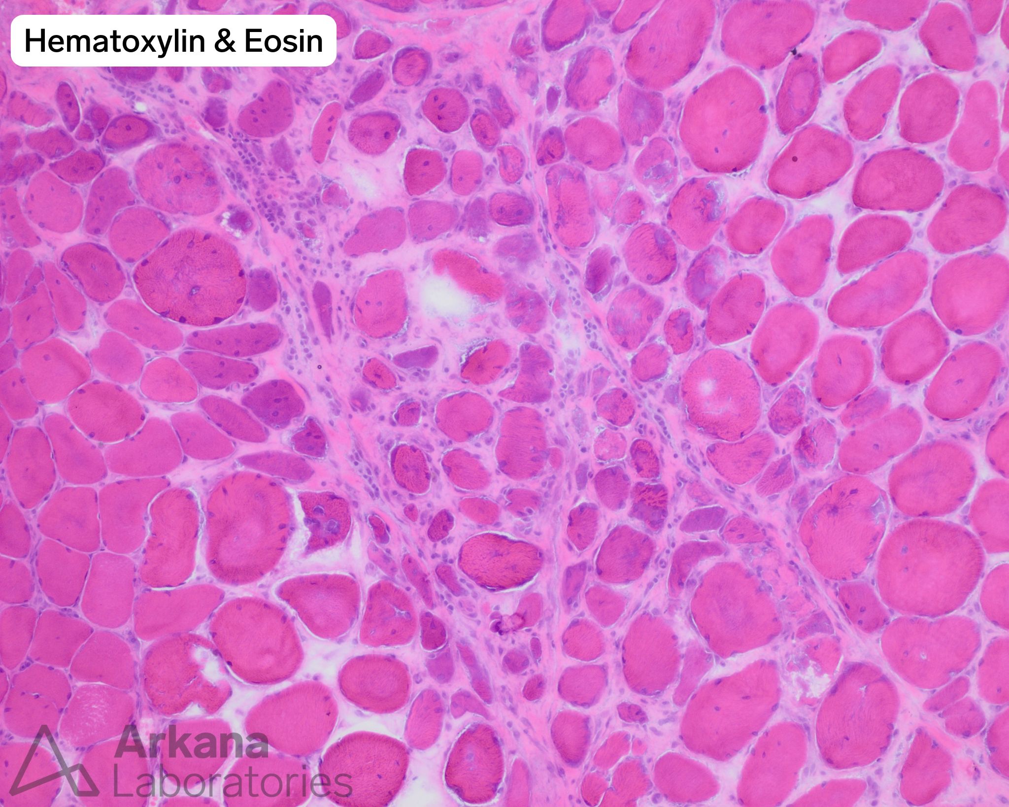
Anti-TIF1-γ Serology in Dermatomyositis
Dermatomyositis is characterized perifascicular pathology and MxA immunoreactivity.
Confirmatory serologies for dermatomyositis can be associated with various concomitant illnesses:
- TIF1γ – high risk for cancer
- SAE – mild pathology with moderate cancer risk
- NXP2 – microinfarct and malignancy associated
- MDA5 amyopathic and/or inflammatory lung disease
- Mi2 – severe pathology
Other pathologies that can present with perifascicular pathology include overlap-myositis, anti-synthetase syndrome and nonspecific myositis.
Reference(s) / Additional Reading:
- Nix JS. J Neuropathol Exp Neurol. 2020;79:719-733.
- Tanboon J. Curr Opin Neurol. 2020;33:590-603.
- Allenbach Y. Neuropathol Appl Neurobiol. 2017;43:62-81.
- Halilu F. Rheumatol Immunol Res. 2022;3:1-10.
Quick note: This post is to be used for informational purposes only and does not constitute medical or health advice. Each person should consult their own doctor with respect to matters referenced. Arkana Laboratories assumes no liability for actions taken in reliance upon the information contained herein.


