Search & Filter All Posts
All Articles
(1459 Results)
Oxalate-induced nephropathy from ingestion of oxalic acid used miticide in beekeeping
Polarizable calcium oxalate microcrystals in a 16-year-old who ingested a small volume (<10 mL) of oxalic acid solution + grain…
MYCN-amplified spinal ependymoma
Clinical History:This 40-year-old patient has increasing back pain and lower extremity paraparesis. MRI of the cervical and lumbar spine with…
Calciphylaxis
Clinical History:This 50-year old patient presented complaints of upper and lower extremity proximal and distal muscle weakness. They also related…
Lab Week 2025: Mystery Under the Microscope
This year’s ASCP Medical Laboratory Professionals Week brought a thrilling twist to our celebration with “Mystery Under the Microscope,” a…
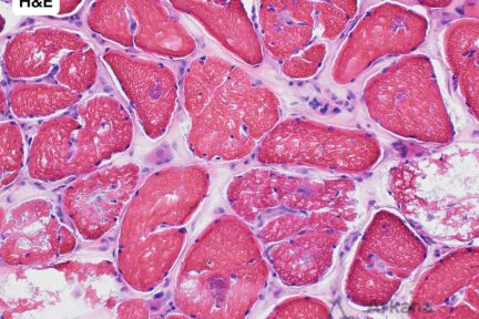
Split muscle fiber
Clinical HistoryThis 45-year-old patient underwent muscle biopsy to evaluate for muscle weakness. The biopsy showed denervation type changes (neurogenic atrophy).…
APOL1-Mediated Kidney Disease
What is APOL1-mediated kidney disease?APOL1-mediated kidney disease is a form of kidney diseases associated with changes that are known as…
Partially necrotic and regenerating myofibers
Clinical HistoryThe 21-year-old patient presented with skin rash and proximal upper and lower extremity weakness of several weeks duration. Laboratory…
Teenager with difficulty playing sports
Clinical HistoryTeenage male with normal developmental milestones but difficulty playing sports or running.What’s the diagnosis?Here are the diagnostic images for…
Teenager with abnormal gait
Clinical HistoryThe patient is a 16 year old male with a longstanding gait abnormality. Genetic testing reveals a pathological mutation.What…
Porphyria
Clinical HistoryThe patient is a 44-year-old woman with progressive, episodic weakness. Her past medical history includes erythropoietic porphyria and prior…
2025 Arkana Birthday Week
Following the excitement of our All Hands Meeting, we continued the celebration with Arkana’s 24th Birthday Week—a milestone that truly…
2025 Arkana All Hands Celebration
Arkana’s 2025 All Hands Meeting brought together our entire company for a perfect blend of reflection, celebration, and forward-thinking excitement.…
Perimysial elastin fibrils
Clinical History This 45-year old patient presented with complaints of muscle weakness. Prior genetic testing detected a heterozygous variant of…
Paraneoplastic dermatomyopathy
Clinical HistoryThis 65-year-old patient presented with bilateral symmetrical proximal upper and lower extremity muscle weakness, dysphagia and skin rash. Their…
Oligosarcoma
Clinical HistoryThis 43-year-old patient presented with complaints of worsening right-sided weakness. Neuroimaging demonstrated a 1.8 x 1.5 x 1.5 cm…



