Search & Filter All Posts
Results for Diagnose This!
(159 Results)
Diagnose This (December 7, 2020)
What would be your leading Dx and subtype based on the Congo red image above showing deposition predominately in the…
Diagnose This (November 23, 2020)
Based on the image provided, what would be your leading diagnosis with C3-dominant immune-complex deposition? …
Diagnose This (November 16, 2020)
What conditions would be in your differential diagnosis for this finding? (Hint: large glomerulus) …
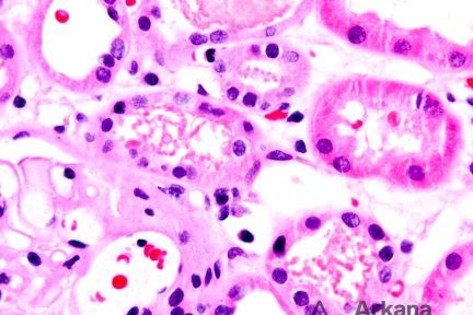
Diagnose This (November 2, 2020)
What is this finding? In a young male patient with hematuria and hearing loss, what would be your top diagnosis? …
Diagnose This (October 19, 2020)
What would be your leading diagnosis in a patient with elevated ACE levels and hilar lymphadenopathy? …
Diagnose This (October 5, 2020)
What is at the top of your differential in a patient with a positive SPEP (IgG kappa) and the immunofluorescence…
Diagnose This (September 21, 2020)
What is this finding and what is the significance in the transplant setting? …
Diagnose This (August 31, 2020)
What is your diagnosis based on this IF staining pattern in a patient with hematuria and proteinuria? …
Diagnose This (August 17, 2020)
What is your diagnosis for this patient with nephrotic syndrome? …
Diagnose This (August 3, 2020)
What is your leading diagnosis when seeing this interesting IgG staining pattern by IF? …
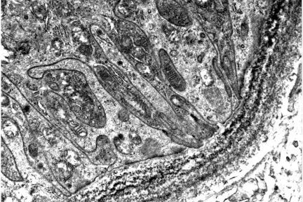
Diagnose This (July 6, 2020)
What is your diagnosis based on the EM image provided? …
